Smile Gallery
Before and After Photos
These photos are meant to be educational in nature and are not a guarantee of treatment results.
Each case is different and expectations are discussed with every patient prior to commencing treatment.
Treatments shown were completed by Dr. Jennifer Graas.

Composite Bonding
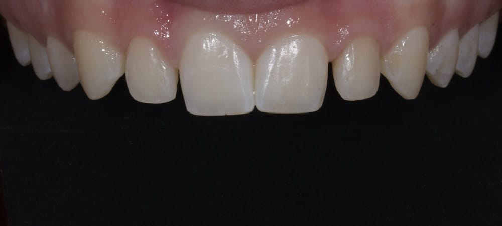
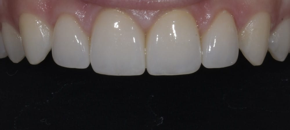
Case 1
Composite veneers were done on this patient’s two front teeth as well as to cover areas of recession to rejuvenate this lovely patient’s smile.


Case 2
Dr. Graas did 4 composite veneers for this patient after she had orthodontic treatment to restore her chipped and worn front teeth. No enamel removal was required for this procedure.


Case 3
6 composite veneers were done for this patient to restore length and tooth proportions while he underwent invisalign treatment.


Case 4
Composite bonding: this patient had his old composite restorations replaced to improve shade and appearance.


Case 5
This patient had cosmetic bonding done to close spaces between her front teeth. No enamel was removed for this procedure.


Case 6
This patient’s composite bonding had stained over time. We replaced it with new bonding on her front 4 teeth. No enamel was removed for this procedure.


Case 7
Eight composite veneers were done for this patient to enhance her smile and camouflage the darker color of her front tooth. Composite veneers are a more economical option vs. porcelain veneers, and minimal tooth reduction was required for this result. Not everyone is a candidate for this treatment.


Case 8
Six composite veneers were done for this patient to improve tooth alignment and shape. No enamel was removed for this procedure.


Case 9
This patient had orthodontics followed by composite veneers (no enamel removal and no anesthetic was required) to restore his chipped and worn front teeth.


Case 10
Before and after composite bonding to repair this patients chipped front teeth. No anesthetic or enamel removal was required for this procedure.


Case 11
4 composite veneers were done for this patient to improve tooth shape, color and proportions after orthodontic treatment. No tooth reduction was necessary for this procedure.


Case 12
Composite bonding was corrected here to restore a more natural appearance to this young patient’s smile.


Case 13
Many people forget about the lower front teeth, however these teeth actually show quite a lot during speech. This patient had no prep composite veneers done on his lower 4 front teeth to improve shape and close spaces.


Case 14
We did 7 hand layered composite veneers on this patient’s top teeth and whitened his lower teeth to improve the esthetics of his smile.


Case 15
We repaired this patient’s chipped front teeth with composite bonding without the need to remove any enamel.


Case 16
This patient had orthodontics followed by 4 composite veneers to brighten his smile. No enamel removal or anesthetic was required!


Case 17
This patient had small lateral incisors. He had orthodontic treatment followed by composite bonding to fill the spaces.


Case 18
This patient had composite bonding done to lengthen and close the spaces between her teeth. The result was a dramatic improvement in her smile!


Case 19
Composite bonding was done here on 5 teeth to restore broken and chipped front teeth. This patient loved her new smile, and it was done without anesthetic and without any tooth structure removal.


Case 20
This patient wanted the old bonding on his front teeth replaced to refresh his smile. 6 composite veneers were done on his upper front teeth.


Case 21
This patient had orthodontic treatment to address his bite which had caused significant wear along his front teeth.


Case 22
Dr. Graas did 8 composite veneers on his top and bottom front teeth.


Case 23
This patient wanted composite veneers to close the space between her front teeth, as well as to make her lateral incisors a bit larger to give her a fuller smile.


Case 24
We did 4 composite veneers for this patient who had worn her teeth down prior to orthodontic treatment. No tooth structure removal was required.


Porcelain Restorations
Case 1
This patient had 24 porcelain restorations done to correct her bite, restore lower worn front teeth, as well as improve the esthetics of her smile.


Case 2
This patient had a full mouth restoration completed to address function (bite) and esthetic concerns. This is an example of a more natural look which many patients are wanting.


Case 3
Porcelain crowns and composite veneers were used to improve the color and alignment of this patient’s smile.


Case 4
We did 7 porcelain veneers for this patient to replace stained bonding to refresh her smile.


Case 5
This patient had 4 minimal porcelain veneers on his upper front teeth, and 4 no prep composite veneers on his lower front teeth to improve shape, colour and symmetry. The lower composite veneers can be seen under the composite restorations section of the smile gallery.


Case 6
After invisalign treatment to even out the spaces and avoid excessive tooth reduction, 9 porcelain veneers were made for this patient.


Case 7
This patient had orthodontics followed by a combination of porcelain and composite veneers to restore his smile.


Case 8
New crowns were done on this patient’s back teeth to restore his bite; 4 porcelain veneers were then done on the upper front teeth to improve the smile.


Case 9
4 porcelain veneers were done for this patient to close black triangles and camouflage one dark central incisor.


Case 10
In this case we replaced this patient’s old stained composite bonding with 10 new porcelain veneers.


Case 11
Acid wear led to enamel loss and dentin exposure on this patient’s front teeth. Crowns were done to protect from further enamel loss and to restore esthetics.
There are many factors that can contribute to acid erosion of our teeth including diet, certain mouthrinses, swimming pools, and habits such as brushing teeth after drinking an acidic beverage.



Case 12
New crowns were done on these two central incisors to correct open margins and to improve shade match to the other natural teeth.


Case 13
Crowns were required to restore these severely worn upper front teeth.


Case 14
Case with 4 porcelain veneers done to improve the shape of the front teeth.


Case 15
Porcelain Veneers to brighten this patient’s smile.


Case 16
Veneers were done to enhance the shape and color of this patients front teeth. We also replaced the old crowns on her molars for improved aesthetics and blending. Notice how her smile is “wider” after this treatment was done!


Case 17
This patient had new crowns made for her 2 front teeth to replace old discoloured composite restorations. This shows how it is possible to achieve a beautiful shade match with porcelain restorations.


Case 18
This patient had 4 veneers and a gum lift to improve the symmetry of her smile.


Case 19
Six minimal preparation porcelain veneers and four no preparation composite veneers were done for this patient.


Case 20
This patient had custom home whitening, four porcelain veneers and two no prep composite veneers to improve the shape, color and symmetry of her teeth.


Case 21
This patient had an unfavorable bite which lead to excessive wear along her front and back teeth. We corrected her bite and did 6 veneers to improve her smile.


Case 22
Two minimally invasive porcelain veneers were done to repair chipped and worn front teeth.


Case 23
In this case we placed additive porcelain restorations on all of the lower teeth. This levelled out the bite as well as improved the esthetics to match her upper teeth.


Case 24
We did 4 porcelain veneers on this patients 4 front teeth, as well as 4 composite veneers on her premolars to fill out the sides of her smile.


Case 25
This patient had old crowns replaced to improve the esthetics and youthfullness of her smile.


Case 26
We replaced 2 porcelain veneers and did 2 composite veneers to balance out tooth widths and improve this patient’s smile.


Case 27
4 minimal preparation porcelain veneers were done for this patient.


Case 28
We did 4 new crowns and gum recontouring for this patient to make a dramatic improvement in her smile.


Dental Implants
Case 1
This patient had one tooth replaced with a dental implant. We were able to achieve a nice shade match with our expert ceramist, without the need to restore any of his other teeth.


Case 2
This patient had 2 implants and 3 crowns to replace missing front teeth.


Case 3
This patient received a dental implant to restore his front tooth, achieving a natural-looking and confident smile.
Invisalign
Case 1


Case 2


Case 3
This patient completed 12 months of Invisalign to align his front teeth and bite, followed by custom whitening. Dr. Graas then restored the wear his two front teeth with composite veneers. No enamel removal was required for this treatment.


Case 4
This patient had invisalign to correct her bite, followed by composite veneers to add to the worn edges of her front teeth.


Case 5
This patient had invisalign followed by professional whitening.


TESTIMONIAL
“Such a joy to deal with this team of top-notch, caring professionals! Truly the best-of-the best in my experience. Keep up the good work.”

