That sudden, sharp pain in your tooth wasn’t on your schedule. Neither was biting down on something hard and feeling a piece of your molar break away.
In moments like these, between the surprise and the discomfort, one big question tends to pop up: is this a real problem, or can it wait until my next checkup? Knowing the difference can save you from unnecessary pain and more complex treatments down the road.
If you’re searching for emergency dental in Calgary and wondering whether your situation truly qualifies as urgent, this guide is for you. We’ll walk you through exactly what constitutes a dental emergency, what can likely wait for a scheduled appointment, and what you can do at home to manage the situation in the meantime.
Making the right call can protect your oral health, and we’re here to help you do just that.

TL;DR
True dental emergencies like knocked-out teeth, severe bleeding, intense pain with swelling, or loose adult teeth need immediate care.
Minor chips, lost fillings, or dull toothaches can typically wait for a scheduled appointment.
When in doubt, call Eau Claire Park Dental to assess the situation.
What Defines a True Dental Emergency?
When you’re in pain, everything feels like an emergency.
A true dental emergency involves situations that require immediate treatment to save a tooth, stop ongoing bleeding, or alleviate severe pain.
If you’re experiencing uncontrolled bleeding, have a tooth that’s been completely knocked out, or are dealing with swelling that’s making it hard to breathe, eat, or swallow, you need to seek care immediately.
For anything else, it can be trickier to assess the severity. Below, we’ll discuss some common situations so you can understand when you need to make that urgent call for emergency dental in Calgary and when a regular appointment will do.
The “Call Immediately” Checklist for Dental Emergencies in Calgary
If you’re experiencing any of the following, it’s time to pick up the phone. These issues require prompt attention to prevent further damage or complications.
A “Knocked-Out” (Avulsed) Tooth
An accidental elbow to the face during a friendly basketball game or a slip on an icy sidewalk can sometimes result in a completely avulsed, or “knocked-out”, tooth.
Time is of the essence here. With quick and correct action, there’s a good chance the tooth can be saved and re-implanted.
Here’s what you need to do:
- Pick up the tooth by the crown (the chewing surface), not the root.
- Rinse it gently with milk or your own saliva. Don’t use water, and definitely don’t scrub it, as this can damage the delicate root surface.
- The best place for the tooth is back in its socket. Try to gently reinsert it and hold it in place by biting down on a clean cloth or gauze.
- If you can’t get it back in the socket, place the tooth in a small container of milk or your own saliva to keep it moist. Don’t store it in water.
- Call a dentist immediately. The chances of saving the tooth are highest if you receive care within an hour.

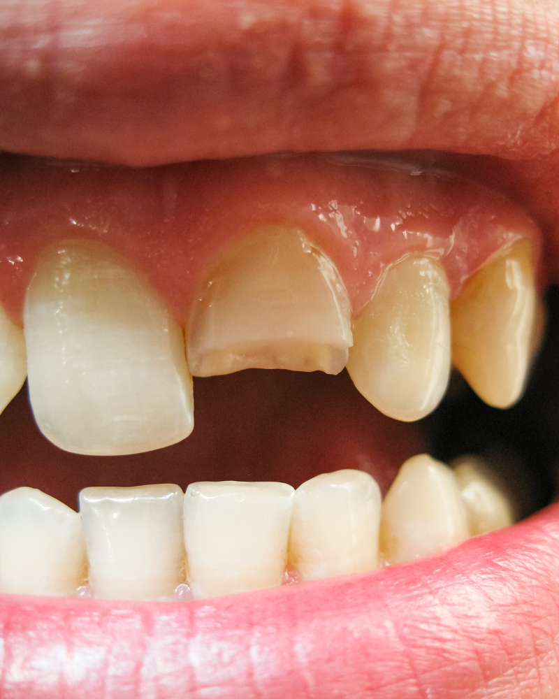
A broken tooth should be assessed promptly, even if it's not causing severe pain.
Severe, Unstoppable Bleeding
Bleeding after a dental procedure like an extraction is normal, but if you’re dealing with bleeding from your mouth that won’t stop, it’s a cause for concern. This could be from a cut to your gums, tongue, or cheek.
Try applying firm, consistent pressure to the area with a clean piece of gauze for 10 to 15 minutes. If the bleeding continues heavily, you need professional medical help.
Severe Tooth Pain with Swelling
A sensitive tooth is one thing. A severe, throbbing pain that keeps you up at night is another.
When that intense pain is accompanied by swelling in your face, cheek, or neck, it’s often a sign of a serious infection or abscess (a pocket of pus caused by a bacterial infection that will not go away on its own).
An untreated dental abscess can lead to serious, even life-threatening, complications if the infection spreads to your jaw, surrounding tissues, or other parts of your body. If you have swelling that’s making it difficult to breathe or swallow, you should go to a hospital emergency room right away. Otherwise, call your dentist for an urgent assessment.

Facial swelling accompanied by severe tooth pain requires immediate professional assessment.
When Can It Wait for a Regular Appointment?
Not all dental problems require immediate action.
Many common issues, though undoubtedly inconvenient and uncomfortable, can safely wait for a scheduled appointment within a day or two. Call your dental office and explain the situation, which will allow the team to find the most appropriate time for you.
A Chipped or Cracked Tooth (Without Severe Pain)
It’s alarming to feel a piece of your tooth break off, but if there isn't severe pain and the broken piece is small, it’s usually not an emergency. You should still have it looked to prevent the chip from getting worse or developing decay, but you don't need to rush in immediately.
Be mindful of any sharp edges that could cut your tongue or cheek. You can temporarily cover the edge with sugar-free gum or dental wax. When you call the office, describe the size of the chip and whether you're feeling any sensitivity.
A Lost Filling or Crown
Losing a filling or having a crown fall off can be unsettling, as it often leaves the underlying tooth feeling sensitive to temperature and pressure. While this needs to be addressed to protect the tooth from damage and decay, it can typically wait a day or two.
If your dental crown has come off, keep it in a safe place. You might be able to temporarily re-seat it using over-the-counter dental cement or even a dab of toothpaste. Call the dental office to schedule an appointment to have it professionally re-cemented or replaced.
A Dull, Persistent Toothache
A toothache that is mild and manageable with over-the-counter pain relievers is a signal that something is wrong, but it isn't necessarily an emergency. Instead, it could be a sign of a cavity, teeth grinding, or the early stages of a gum issue.
Nevertheless, it’s important to get it checked out before it develops into a more severe problem. Call for an appointment and be ready to describe the pain, since this will help the dental team assess your needs: Is it constant or intermittent? Sharp or dull? Triggered by hot, cold, or sweets?
Prevention Is Always the Best Approach
The best way to handle dental emergencies is to prevent them from happening in the first place.
Believe it or not, around 40% of all dental injuries are sports-related. While many of those occur in children, the statistic highlights the importance of protective gear, no matter your age. Wearing a custom-fitted mouthguard during any contact sport or recreational activity is one of the best and most effective ways to protect your teeth from trauma.
Beyond that, the best prevention lies in consistent, proactive dental care. Regular checkups and cleanings help your dental team spot potential problems, like small cavities or weakened fillings, long before they become painful emergencies.
Finding Emergency Dental Care in Calgary When You Need It
When a dental issue arises, take a moment to breathe and calmly assess your symptoms. If you’re facing a true emergency like a knocked-out tooth or severe bleeding/swelling, seek help immediately. For other issues, like a lost filling or a minor chip, you can schedule a regular appointment without worry.
At Eau Claire Park Dental, we understand that dental emergencies can be stressful and confusing. That's why we're committed to providing clear guidance alongside exceptional care. Whether you're dealing with sudden pain, a broken tooth, or simply aren't sure what your symptoms mean, our team is here to help you make informed decisions about your oral health.
If you need emergency dental in Calgary, don't hesitate to call our office at 1-403-263-6340.
We'll talk you through what's happening and determine the best course of action for your specific situation. Because when it comes to your smile, you deserve both clarity and quality care.

Dr. Jennifer Graas and the Eau Claire Park Dental team standing outside the downtown Calgary boutique dental clinic.



